Wat is een dynamic hip screw?
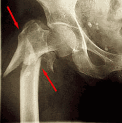
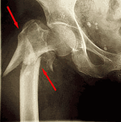
Een DHS wordt geplaatst bij een bepaald type “gebroken heupen”, wanneer het dijbeen (femur) breekt op het brede deel vlak voor de dijbeenhals (collum).
Men spreekt dan van een subtrochantere femurfractuur. De DHS of dynamic hip screw bestaat in feite uit twee componenten.We onderscheiden een stevige schroef die vanuit de laterale cortex van de schacht in de kop grijpt en een plaat die op de schroef aangrijpt en het geheel aan de schacht fixeert.
Het speciale kenmerk van een DHS is de mogelijkheid van de kop nagel om te glijden en dus te collaberen in de plaat. Dit is een enorm voordeel vanuit biomechanisch standpunt en voorkomt zeer vervelende en ernstige complicaties zoals “cut-out” en intra-articulaire perforatie van de schroef in het gewricht.
De operatieve ingreep
De ingreep wordt uitgevoerd op de tractietafel. Dit is een speciale orthopedische tafel waar een tractie device op aangebracht is. Hierdoor kan de breuk goed gereduceerd worden. De operatie gebeurt via een incisie die ongeveer 15-20 cm lang is en die zuiver lateraal (d.w.z. aan de buitenkant van de dij) gelegen is. De operatieduur bedraagt ongeveer 45 minuten.
Na de operatie
Het herstel na de operatie vraagt veel inzet van de patiënt. Het is moeilijk in te schatten hoe lang de totale herstelperiode zal duren. Het genezingsproces neemt meestal drie tot vier maanden in beslag. Het opbouwen van uw conditie kan wel een half jaar duren. Dit is natuurlijk afhankelijk van de leeftijd en conditie. De nabehandeling vindt plaats in ketenzorg waarbij verschillende disciplines zullen proberen de patiënt zo snel mogelijk weer zelfstandig te laten functioneren. In de praktijk stelt men vast dat de netto situatie na de ingreep vaak minder is dan preoperatief. Men maakt geen winst na een fractuur van de heup.




